Faz o quê com a mãe que tinha o “feeling” que era menino? Que pecadiiinho com a minha princesa!!!
Tuuudo mentira aquelas crenças bobas, viu? Desde o começo da gestação eu tenho vontade de comer alimentos salgados e de beber sucos cítricos. A barriga, por enquanto parece mais pontuda do que redonda. Eu prefiro dormir virada para o lado esquerdo e não para o direito. Tudo isso, segundo a crença = MENINO!
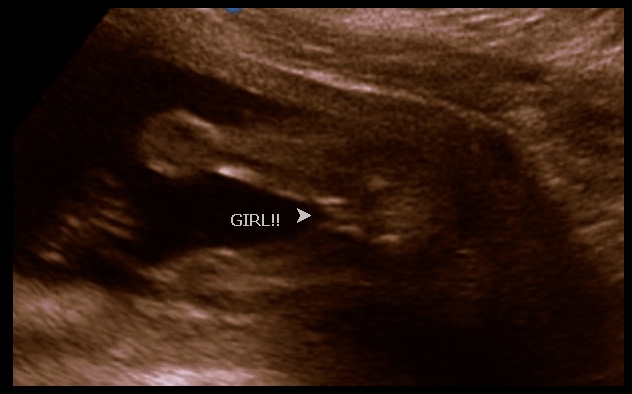
Mas olha ELA aí! PEPECUDA LINDA!
Quando papai viu essa imagem na tela, deu aquele riso nervoso e disse ” ihhh, to pobre!” haha, não por ela, tadinha, talvez seja super econômica (nunca se sabe, né?) mas pela mãe dela que vocês conhecem 😛
Veremos ainda a crença “Azia = Bebê cabeludo”, tomara! Assim poderei enchê-la de chuquinhas, lacinhos e florzinhas no cabelão que ela vai ter, porque OOOO AZIA viu?
Se estamos felizes? Demaaais!!! Mal posso esperar pra ter essa bonequinha nos meus braços. E não é coisa de mãe coruja não, viu? Olhem o perfil da nossa pequena! Não é uma boneca? 😀
Ontem passamos noite na internet, varrendo listas de nomes e mais nomes de menina até que enfim encontramos o nome que tem a carinha da nossa princesa. Mas isso, só no próximo post… lá lá lá…
ATUALIZANDO
Azia igual a bebê cabeludo siiim!!! Uhulll. Ela nasceu com a maior cabeleira!



Que linda! princesinha da vovó,que eu ja amo tanto!uiuiii!que passe logo esses meses pra gente poder abrac,a’-la!Seja bem-vinda!
Não to mais pobre… to falido! 😦
Aiii que coisa mais fofa…muito obrigada prima por compartir esse momento, mesmo tao longe é possível estar tao perto. Essa guria é muito esperta, escolheu pais incríveis cheios de amor e alegría para viver com ela….Seja bem-vinda!!!
Perfil lindo demais!! E que a Lauren venha com muita saúde!!
E a gente também andou se divertindo com esses old wives tales heheheh!
Obrigada Barb! Digo o mesmo para a amiguinha dela, Isabella? Hehe. Bjao!